診療案内

予防メンテナンス

予防メンテナンスPreventive treatment

お口の健康を長期的に維持するための予防プログラムを提供しています。定期的なクリーニングやチェックで、虫歯や歯周病を未然に防ぎます。

  • 定期メンテナンス
  • PMTC(専門的クリーニング)
  • フッ素塗布

MORE

歯周病治療

歯周病治療Periodontal disease

歯ぐきの炎症や出血、口臭の原因となる歯周病を早期に発見・治療することが重要です。当院では、進行度に応じた適切な処置を行い、歯の健康を守ります。

  • 歯周ポケットの測定・管理
  • スケーリング・ルートプレーニング
  • 定期的なメンテナンスと生活指導

MORE

訪問歯科診療

訪問歯科診療Home visit medical care

ご自宅や施設に伺い、通院が困難な方にも安心して歯科治療を受けていただけるよう訪問歯科診療を行っています。口腔ケアから入れ歯の調整まで対応可能です。

  • ご自宅・施設への訪問対応
  • 入れ歯の調整・作製
  • 口腔ケア・衛生指導

MORE

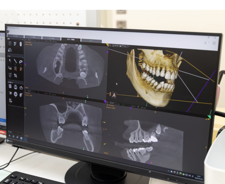
インプラント

インプラントIMPLANT

失った歯の機能と見た目を自然に回復するインプラント治療を提供しています。精密な診断と丁寧な治療で、安全で長持ちするインプラントを実現します。

  • 精密診断・治療計画
  • CT撮影によるシミュレーション
  • メンテナンスプログラム

MORE

Deco

Deco

Deco

CONTACT

ご予約・お問い合わせ

お電話でのご予約・お問い合わせ

0144-72-8558

予約WEB

RECRUIT

スタッフ募集!

お気軽にご連絡ください。
スタッフ一同お待ちしております。

求人情報はこちら